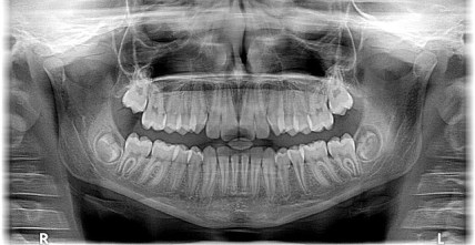
The dentist came into the room with a copy of my dental x-ray in his hand. He gave me a big smile, that actually made me more nervous than calm, and went out of his way to promote the benefits of the practice’s 360-degree panoramic x-ray machine. He explained how the x-ray shows all the teeth in both the upper and lower jaws on a single X-ray. He went onto say that they found the x-ray useful in identifying impacted teeth and aiding in diagnosing tumors.
I take pretty good care of my teeth. I brush two times a day. I floss. Okay, I try to floss. I care about my teeth, but I really didn’t have time for the lecture. I quickly zoned out. I figured he’d eventually get to the point of the conversation and I’d have a filling that needed replaced or tell me that I needed to put more time into flossing.
I looked past the dentist and how his glasses hung crookedly on his nose and zeroed in on the clock on the wall; I made a mental list of all the things on my To Do List for the day; and I imagined how good my first cup of coffee was going to taste as soon as I was out of the office and on my way to work.
I thought about everything, but what the dentist was saying. I would have continued to zone out, but he pointed to two circled portions of the x-ray and said, “everything looks good, except for these two portions of your jaw. They worry me.”
His stubby little finger highlighted several small pebble-like circles on both jaws. It hit me that I really should start paying attention. “What” I asked. He repeated what he had said and with only a couple of words, he had my full attention. I forgot about the time, my To Do List, and my morning coffee. I focused on everything the dentist was saying and wasn’t saying.
He explained that the fleshy circles were worrisome and he was going to send the x-ray to an oral surgeon for review. I pressed him for answers. “That’s great that you’re getting a second opinion, but what do you think?” I asked.
He hesitated and tried to push me off, stating that the oral surgeon would know better. I pressed again, asking if he had ever seen anything like it in his 30-year dental practice. He reminded me that the surgeon was the expert in reading the x-ray, but he said he was worried about kidney stones or worse a blockage in the carotid artery. He vaguely referenced something about cancer too.
Yea, he had my attention. I forgot about my work problems. I forgot about the bills I needed to pay. He could see my concern and told me not to worry. He would check with the oral surgeon and get back to me in a few days. “A few days,” I asked. “Yes, a few days” he said. He would get me an answer as soon as he could and I should relax. He was sure it was nothing.
I started to question him how a blocked artery could be nothing, but let it go, walking out of the office feeling different from how I felt walking into it. Of course, we live now in the world of Google and Alexa and instant medical analysis. As soon as I left the office, I had WebMD, the Mayo Clinic and handful of other sites up on my phone, researching the 360 dental x-ray and possible causes of the little stones.
My search didn’t fill me up with much hope. It didn’t take much to find the most disturbing possible causes. I figured I was one heart palpitation away from an ambulance ride to the ER.
“This can’t be” I told myself. I thought of the hours I had spent exercising over the summer. I spent much of the year training for a marathon. That was a plus, right? I questioned. Of course, I instantly thought of recent stresses that I was sure had brought the stones to the forefront.
I swore off coffee and soda and all the bad things in my diet. I promised myself to pull out the broccoli and peas from the deep recesses of the refrigerator later that night. I drove back to work in silence, planning out my new exercise regime and how I was going to lose even more weight.
I tried to not worry, but I became convinced that every back ache, every pain in my abdomen, gave me a clue to my deteriorating health. Yes, I prayed and prayed some more. I prayed not for good results, but for the grace to handle whatever the news was going to be.
When I finally got the call from the dentist, I was ready for the worst.
Fortunately, the doctor had good news. I let out a little yelp when he told me that the nodules were simple tonsil stones, also known as tonsilliths, which are benign accumulations in the crypts of some people’s tonsils. They can sometimes cause minor discomfort, but generally are not dangerous.
When I hung up with the dentist, I let out a louder roar and laughed. I had to let the news sink in, really sink in: not dangerous.
I’m not dying. I’m not even facing months of pain and discomfort trying to get rid of a bunch of tiny, but still very painful kidney stones. I’m fine. I’m fine. Hallelujah! Hallelujah! Praise the Lord. Hallelujah!
Now if I can just keep on that healthy diet.
Discover more from Writing from the Heart with Brian
Subscribe to get the latest posts sent to your email.

You must be logged in to post a comment.